En este blogs se publicará información de interés en Medicina Veterinaria. Patologia Clinica.
lunes, 20 de junio de 2016
FROTIS SANGUÍNEO: Aspectos clínicos de diagnóstico
FROTIS SANGUÍNEO: Aspectos clínicos de diagnóstico: Anaplasmosis bovina . La anaplasmosis es una enfermedad infecciosa, hemotrópica que padece el ganado bovino, así como también otros r...
domingo, 19 de junio de 2016
Aspectos clínicos de diagnóstico
Anaplasmosis bovina.
La anaplasmosis es una enfermedad infecciosa, hemotrópica
que padece el ganado bovino, así como también otros rumiantes.
Esta enfermedad es causada
por una rickettsia intraeritrocítica obligada, Anaplasma marginale. Síntomas: fiebre, debilitamiento, anorexia,
respiración jadeante, además de anemia severa. Esto traen consecuencias graves
en animal, tales como: depresión, pérdida de peso, ictericia, aborto de vacas
preñadas e infertilidad en sementales. La muerte ocurre en un tercio del ganado
con anaplasmosis aguda no tratada.
Una importante, observación
de esta infección hemotrópica, es que de los síntomas clínicos presente, la
anemia no es proporcional con el grado de parasitemia (ver la figura 1).
Figura 1. Clasificación
morfológica de la anemia presente en la
anaplasmosis bovina.
Se evidenció una anemia macrocítica normocrómica.
En el estudio morfológico de los eritrocitos se observó una anisocitosis
con macrocitosis, policromasia y poiquilocitosis con la presencia de
esferocitos (ver figura 2 y tabla 1). Estos resultados son característicos de
una anemia hemolítica autoinmune.
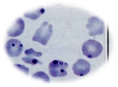
Figura
2. Presencia del hemoparásito (Anaplasma
marginale) y la evaluación morfológica de los eritrocitos.
Tabla
1. Variaciones morfológicas de los glóbulos rojos durante la anaplasmosis
bovina.
|
PERIODOS
|
FROTIS SANGUINEO
|
||
|
Glóbulos rojos
|
G. Blancos
|
Plaquetas
|
|
|
Pre-infección
|
Normocítico.
Normocrómico.
|
Normales
|
Normales
|
|
Aguda
|
Anisocitosis- macrocitosis.
Poiquilocitosis. Esferocitosis.
Inclusiones de A. marginale
|
Linfocitos reactivos
|
Macroplaqueta.
|
|
Convaleciente
|
Anisocitosis-
macrocitosis
Leve.
|
Normales
|
Normales
|
Recomendación
para la prevención y control de la anaplasmosis
Finalmente, recomiendo
el control de los vectores y realizar una evaluación diagnostica clínica y de
laboratorio (tomar muestras sanguíneas: para identificar la presencia o determinar
el porcentaje del hemoparásito) de forma preventiva. Para así evitar o
disminuir las pérdidas económicas que genera este hemoparásito.
viernes, 10 de junio de 2016
Antígenos de A. marginale y su relación con la anemia
Antígenos de A. marginale y su relación con la
anemia presente en la anaplasmosis bovina. Universidad Simón Bolívar. 2001. Dra. Zulma Alvarez. Tutor: Dr Aso Pedro.
Resumen
La anaplasmosis bovina es una enfermedad hemotrópica, causada por A. marginale. Se caracteriza por
presentar una anemia cuya severidad no es proporcional con la parasitemia, se
desconoce el mecanismo preciso. El presente trabajo se diseño con el fin de
evaluar el rol de los antígenos de A. marginale en relación con la anemia presente en la anaplasmosis e
identificar complejos inmunes sobre la membrana de eritrocitos. Para ello, se
utilizaron bovinos holstein esplenectomizados, se inocularon con criopreservado
de eritrocito bovinos infectados con A.
marginale de tres aislados geográficos: Zulia, Táchira y Apure. Los
becerros fueron sangrados y se obtuvieron: sueros, plasma, eluados de
eritrocitos y se prepararon antígenos: soluble, particulado y para
inmunofluorescencia indirecta (IFI)y directa IFD. Se evaluó la
temperatura, los parámetros parasitólogicos y los índices hematimétricos. Los
anticuerpos eluidos se le determinó el isotipo por medio de IFI y se evaluó el
isotipo capaz de reconocer al antígeno soluble y extractos de eritrocitico normal
mediante ELISA indirecto. Se realizó una
inmunotinción para conocer que antígenos de A.
marginale son reconocidos por los anticuerpos eluidos de los eritrocitos.
Los complejos inmunes se identificaron mediante IFD. Adicionalmente, se estudio
una actividad hemolítica in vitro entre
sueros y eritrocitos bovinos con anaplasmosis. Durante la anaplasmosis bovina,
se evidenció una anemia macrocítica normocrómica y el estudio morfológico
reveló una anisocitosis poiquilocitosis (esferocitos), esto es compatible con
una anemia hemolítica autoinmune. Los anticuerpos opsonizantes eran del isotipo
IgM / IgG y los dos isotipos reconocieron a los cuerpos del parásito mientras
que los anticuerpos IgG reconocieron al antígeno soluble pero no fueron capaces
de reconocer al material eritrocitico normal. Así mismo, se demostró por medio
de la inmunotinción que anticuerpos IgG eluidos de los eritrocitos bovinos con
anaplasmosis reconocen al antígeno corpuscular (A.. marginale) de peso molecular de 84, 80, 79, 62 y 47 kDa. Se logró
demostrar la presencia anticuerpos del isotipo IgG sobre el cuerpo del parásito
dentro del eritrocito por IFD utilizando anti-IgG bovina conjugada a FITC. En
la anaplasmosis bovina se detectó hemólisis in
vitro y parecen estar involucrados dos mecanismos, uno dependiente y otro
independiente de la temperatura a 56 ºC. Estos resultados son consistentes con
la idea de que los antígenos de A.
marginale, constituyen un factor que conlleva a la formación de anticuerpos
que pueden actuar contra los eritrocitos y con ello contribuir con la severidad
de la anemia presente en esta enfermedad.
Suscribirse a:
Comentarios (Atom)




